ガサガサのかかと、乾燥じゃなくて「かかと水虫」なの?!

【コラム】ガサガサのかかと、乾燥じゃなくて「かかと水虫」なの?!

水虫治療がスベスベかかとへの近道?

かかとのガサガサやぷつぷつ皮めくれ®がなかなか治らない(かゆみは軽い)、足指に水虫がある・または繰り返し水虫になる、家族に水虫になっている人がいる。これらの内一つでも思い当たるなら、一度かかと水虫を疑って。

※かかと水虫とは、かかとにできた水虫のこと。

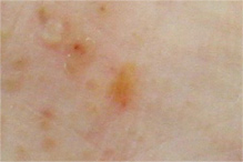
ガサガサかかと・ぶつぶつ皮めくれ®の写真

指の間などに発症した水虫を放置すると、角質の奥深くに菌が進行し、最後には角質の厚い足の裏全体、特にかかと部位にまで症状が進行することもあります(かかとだけで発症することはありません)。見た目はひび・あかぎれとの区別が難しく、足の裏全体にわたって粉をふいたような状態に。水虫の中でも治療しにくく、放っておくと治療が難しい爪水虫(爪白癬)になる可能性もあるので注意が必要です。

病院でかかと水虫を治療する場合は、尿素で角質をやわらかくしてから水虫薬を浸透させる方法を取ります。
早く治すコツとして、せっけんで患部をよく洗い清潔に保つこと、汗をかいた後はタオルで拭いてしっかり乾燥させること、薬の散布は皮ふがやわらかくなっているお風呂上りに患部を中心に広めに塗ること、症状が治まったと思ってもしばらくの間は治療を続けることが大切です。水虫は治せる病気ですので、きちんと治療を行い、清潔でスベスベしたキレイなかかとを目指しましょう!

今すぐチェック!私の足って水虫なの?

水虫は、「白癬菌(はくせんきん)」というカビの一種が、皮ふのいちばん外側の角質層に感染して起こる病気です。感染した体の部位によって病名は異なり、手足にできたものを「水虫」と呼びます。また、症状によって3つのタイプに分かれています。

症状
  • 足指の間

    趾間型の写真

    水虫の中で一番多いのがこのタイプ。足指の間の皮ふが湿ってふやけたようになりジュクジュクする湿潤型と、皮が薄くむけ赤くなる乾燥型に分けられます。湿潤型は赤みが強く、細菌の二次感染によって足全体がはれるケースもあります。

  • 足の裏・フチ・指の付け根

    小水疱型の写真

    足の裏やふち、指の付け根に透明でやや粘り気のある液体を含む小さな水ぶくれができ、破れると液が出て次第にカサカサに乾き皮がむけます。赤くなってかゆみを感じることが多いですが、必ずしもかゆみがあるわけではなく水ぶくれも目立たないことがあるため、存在に気付かずそのまま放置してしまうことも。

  • かかと

    角質増殖型の写真

    足の裏全体、かかとの硬い箇所にできています。粉をふいたような状態ですが、かゆみはほとんどありません。

正しい情報を掲載するよう注意しておりますが、
誤った情報があればご指摘ください

医療情報に関するご指摘はこちら

関連する商品

関連する記事